Sabah uyandığınızda, günlük rutininizi sürdürürken aynaya baktınız ve ağzınızdaki dişlerin yerinde olmadığını fark ettiğinizi düşünün. Kulağa sıra dışı gelse de İstanbul’da yaşayan 45 yaşındaki bir kadının başına tam olarak bu geldi.
Uyandığında üst çenesinin arka bölümündeki üçlü kaplama dişlerinin yerinde olmadığını gören kadın, büyük bir panik yaşadı. İlk ihtimal olarak dişlerini uykusunda yutmuş olabileceğini düşünen talihsiz kadın, soluğu hastanede aldı. Yapılan tetkikler sonucunda ortaya çıkan gerçek, yalnızca kendisini değil doktorları da şaşkına çevirdi.
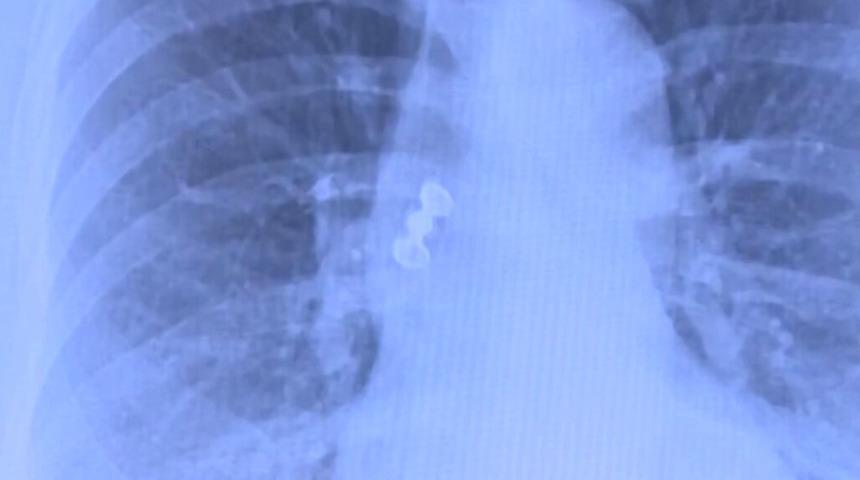
Üç dişten oluşan kaplama köprünün solunum yoluna kaçarak akciğere aspire edildiği (yutulan maddenin soluk borusuna ya da akciğerlere girmesi) belirlendi. Durumun ciddiyeti üzerine hasta yatırılarak tedavi süreci başlatıldı.

Göğüs Cerrahisi Uzmanı Prof. Dr. Levent Alpay TRT Haber'e yaptığı açıklamada, görüntülemede kaplama dişin solunum yoluna kaçtığını net şekilde gördüklerini ve acil müdahale kararı aldıklarını belirtti. Prof. Dr. Alpay, bu tür vakalarda genellikle yabancı cismin mideye kaçmasının daha sık görüldüğünü, solunum yollarına aspirasyonun ise oldukça nadir olduğunu belirtti.
Uzmanlar, bu gibi durumların soluk borusunun tamamen tıkanması halinde hayati risk oluşabileceğine dikkat çekiliyor. Talihsiz kadın, diş köprüsünün bronkoskopi yöntemiyle akciğerden çıkarılması sayesinde ciddi bir komplikasyon yaşamadan sağlığına kavuştu.
KAPLAMA DİŞİ OLANLAR DİKKAT!
Prof. Dr. Alpay kaplama dişi bulunan kişilere uyarılarda bulundu. Zamanla gevşeyen ya da telleri kırılan kaplamaların aspirasyon veya yutma riskini artırabileceğini belirten Alpay, bu nedenle düzenli diş hekimi kontrollerinin ihmal edilmemesi gerektiğini ifade etti.
Kaynak: TRT Haber




